世联博研(北京)科技有限公司——专业科研细胞实验技术服务外包细胞培养 世联博研(北京)科技有限公司为满足广大科研朋友的需求,现推出一些列动物实验服务、细胞生物学实验技术服务以及细胞生物学类整体实验技术服务等一站式技术实验服务平台,欢迎大家选择本平台的相关实验服务。 世联博研的细胞生物学整体服务是一个综合性的服务平台,包括了从基础的细胞培养到的细胞建模,再到样本收集和细胞生物学功能检测等一系列实验流程,可以为您提供从细胞培养,质粒转染,到细胞建模,样本收 集到细胞生物学功能检测等服务都可以满足您的需要,以及相关的搭配服务如:分子生物学→细胞生物学,细胞生物学联合慢病毒感染;细胞生物学→蛋白组学,细胞生物学联合基因芯片;细胞生物学→动物建模,细胞生物学→免疫学,病理学实验等相关技术服务我们都可以出色完成! 
世联博研目前可开展小鼠、大鼠、豚鼠、地鼠、兔、犬、猪、猴相关的动物实验,可构建200余种动物疾病模型,与国内500+医院、高校、研究所建立合作,拥有上千种生物资源库,为近万名客户提供专业高效的一站式服务平台,助力科研创新。已成功与国际生命科学领域近50多家的科研产品制造商以及1300多家中国三甲医院、2100多家科研院所、600多家高校、400多家检验检疫等用户单位建立了良好诚信的长期合作关系,拥有上千种生物资源库,为近万名客户提供专业高效的一站式服务平台,助力科研创新。
一站式整体课题服务:研究方案(课题)评估、整体实验项目合作、医学成果高效转化

| 动物疾病模型构建 | 给药服务、脏器、组织取样服务、样本采集、观察、拍照、称重、滴鼻、剪尾、人工肿瘤测量、解剖等 | 
| 动物模型评价 | 情绪行为、学习记忆、运动功能、感官功能测试等 | 
| 动物行为学 | 旷场、强迫游泳、高架十字迷宫、悬尾、饮水焦虑、激惹、Neiss行为评分、场景恐惧、热刺激、迷宫、明暗穿梭、三箱社交、社会认知、新物体识别、条件性位置偏爱、转棒、跑台、转轮、砝码疲劳、步态仪、平衡木、爬杆、抓力测试、支撑力测定、疼痛测定等。 | 
| SPF级别小动物饲养 | SPF级别屏障动物饲养环境、严格的动物质量管理体系、具有多年饲养使用经验的实验动物技术人员及职业兽医,以确保实验动物获得高福利、高标准的饲养,确保按时为客户提供足量符合标准的实验动物。 | 
| 细胞培养 | 普通细胞株细胞培养、细胞缺氧培养、细胞培养+支架、原代细胞培养、原代细胞分离、干细胞培养、干细胞诱导分化、细胞转染/感染/电转、细胞共培养等。 | 
| 细胞表型 | 细胞增殖、生长曲线测定、CCK-8/MTT、克隆/集落形成、悬浮小球、细胞运动、Transwell检细胞迁移/侵袭、细胞粘附、细胞划痕、细胞克隆、血管生成、细胞分选、细胞周期、细胞凋亡、细胞衰老、细胞自噬、细胞铁死亡等。 | 
| 疾病细胞模型构建 | 癌细胞模型、神经退行性疾病细胞模型、心血管疾病细胞模型、感染性疾病细胞模型、炎症和自身免疫性疾病细胞模型、遗传性疾病细胞模型、正常细胞模型等。 | 
| 药物筛选 | 细胞存活率、细胞形态、收缩功能、电生理活动、钙离子浓度、钙离子动力学、氧化应激水平、线粒体功能、凋亡相关蛋白表达、炎症因子水平、自噬标志物表达、蛋白质组学分析等 | 
| 病理学平台 | 制片前处理、染色、免疫染色、电镜、共聚焦、扫描、分析等 | 
| 分子蛋白检测平台 | 核酸分子实验、酶联免疫吸附测定(ELISA)、蛋白免疫印迹(WB)、病原体、肿瘤研究、标准物、基因表达、单细胞分析、制药、农业、食品、环境海洋等 | 
| 影像学平台 | 多激光扫描光声显微镜,血流动力学光声功能性检测、血流速度成像与测量、血氧饱和度成像与检测、氧代谢速率成像与检测等 | 
| 微生物实验 | 培养基制备、微生物形态观察、生化反应、分离和纯化、分子鉴定、遗传改造、发酵、进化、生态、保藏等 |
动物疾病模型构建

| 神经系统+精神疾病模型 | 脑卒中模型、应激模型、帕金森动物模型、栓塞性脑梗死模型、脑出血模型、脑损伤模型、老年痴呆模型、脊髓损伤动物模型、精神分裂模型、坐骨神经损伤 (周围神经损伤)动物模型、坐骨神经,面神经损伤动物模型、抑郁症动物模型、癫痫模型等 | 
| 心脑血管模型 | 脑缺血及再灌注模型、心脏骤停模型、脑外损伤动物模型、体内血栓动物模型、高血压模型、心力衰竭模型、心肌缺血动物模型、心梗动物模型、阿霉素诱导大鼠心肌病模型、脑损伤动物模型、脑出血动物模型、心肌梗死动物模型、慢性心力衰竭动物模型、高血压动物模型、动脉粥样硬化动物模型等 | 
| 呼吸系统模型 | 肺栓塞模型、慢性肺阻塞模型、肺炎模型、过敏性哮喘动物模型、慢性支气管炎动物模型、肺动脉高压动物模型、肺纤维化模型、急性肺损伤模型、肺间质纤维化动物模型、慢性支气管炎动物模型等 | 
| 消化系统模型 | 结肠炎(UC)模型、大肠癌动物模型、胃酸分泌模型、胃溃疡模型、急性肝损伤模型、胆结石动物模型、肝炎-肝硬化-肝癌动物模型、肥胖动物模型、非酒精性脂肪肝模型、脓毒症模型、肠炎动物模型、胰腺炎动物模型、肝硬化动物模型、肝纤维化动物模型、酒精肝动物模型等 | 
| 骨科模型 | 类风湿性关节炎动物模型、骨缺损动物模型、骨折动物模型、骨关节炎动物模型、骨质疏松动物模型等 | 
| 免疫、代谢系统模型 | 高尿酸血症模型、宫颈癌动物模型、糖尿病眼病模型、高尿酸血症动物模型、亢甲状腺药物诱导的甲减模型、II型糖尿病动物模型、1型糖尿病动物模型等 | 
| 泌尿系统模型 | 缺血性急性肾衰竭动物模型、子宫内膜异位症模型、肾小管间质纤维化动物模型、膀胱癌动物模型、肾结石动物模型、慢性肾衰竭动物模型、急性肾衰竭动物模型、肾盂肾炎动物模型等 | 
| 五官疾病模型 | 鼻窦炎模型、鼻炎模型、视网膜损伤模型、牙周炎动物模型、白内障动物模型、视神经损伤动物模型等 | 
| 皮肤科模型 | 压力性褥疮(PU)模型、硬皮症(SSC)模型、特应性皮炎(AD)模型、伤口愈合:圆形缺损模型、伤口愈合:划痕模型、二度烧伤模型、皮肤损伤模型等 | 
| 皮下移植瘤药效模型 | Mouse皮下移植瘤、Mouse皮下移植瘤(只成瘤)、裸鼠皮下移植瘤、裸鼠皮下移植瘤(只成瘤)等 | 
| 转移瘤药效模型 | 裸鼠肺转移瘤药效评估、裸鼠肺转移瘤等 | 
| 原位瘤模型
| 肾癌动物模型、裸鼠腹水瘤、裸鼠乳腺癌原位瘤、裸鼠肝原位瘤药效评估、脑胶质瘤动物模型、胃癌动物模型、胰腺癌动物模型、卵巢癌动物模型、肝癌动物模型、直结肠癌动物模型等 | 
| 常规脏器手术切除模型 | 5/6肾切除手术、有创动脉血压、神经吻合手术、输精管结扎手术、去势手术(睾丸摘除)、胃切除手术、肝切除手术、单侧肾切除手术等 | 
| 肿瘤动物模型 | 裸鼠成瘤、裸鼠肝原位瘤、黑色素瘤动物模型、药理毒理动物实验技术服务、Mouse肺转移瘤、人源肿瘤裸鼠药效评价、Mouse皮下移植瘤药效评估、裸鼠皮下移植瘤药效评估、Mouse肝原位瘤、肺癌动物模型、乳腺癌动物模型 |
部分大小鼠动物模型定制服务汇总,如有需求,请咨询定制动物模型 |
|---|
小鼠烧烫伤模型 | 小鼠皮下移植瘤药效评估 | 大鼠痴呆模型 | 大鼠心肌缺血再灌注模型 | 小鼠肥胖模型 | 小鼠乳腺癌原位瘤 | 大鼠癫痫模型 | 大鼠心肌损伤模型 | 小鼠肠炎模型 | 小鼠肾结石模型 | 大鼠非酒精性脂肪肝模型 | 大鼠心衰模型 | 小鼠肌肉衰减综合征模型 | 小鼠心肌肥厚模型 | 大鼠肺纤维化模型 | 大鼠血流动力学 | 小动物活体成像 | 小鼠心肌梗死模型 | 大鼠肝纤维化模型 | 大鼠胰岛素抵抗模型 | 小鼠Ⅰ型糖尿病模型 | 小鼠心肌缺血再灌注模型 | 大鼠肝脏缺血再灌注模型 | 大鼠有创动脉血压 | 小鼠Ⅱ型糖尿病模型 | 小鼠血管损伤模型 | 大鼠骨关节炎模型 | 大鼠脂肪肝模型 | 小鼠CC14诱导肝纤维化模型 | 小鼠抑郁模型 | 大鼠骨质疏松模型 | 大鼠足肿胀模型 | 小鼠 LPS 致急性肺损伤模型 | 小鼠再生障碍性贫血模型 | 大鼠光老化模型 | 大小鼠颅内注射 | 小鼠 MCAO 模型 | 裸鼠肺转移瘤 | 大鼠急性肝损伤模型 | 大小鼠耐力测试 | 小鼠 UU0 肾间质纤维化模型 | 裸鼠肺转移瘤药效评估 | 大鼠脊髓损伤模型 | 大小鼠水迷宫 | 小鼠博来霉素诱导肺纤维化模型 | 裸鼠腹水瘤 | 大鼠结肠炎模型 | 大小鼠雾化给药 | 小鼠肠癌模型 | 裸鼠腹水瘤药效评估 | 大鼠酒精性肝炎模型 | 大小鼠心电图 | 小鼠动脉粥样硬化模型 | 裸鼠肝原位瘤 | 大鼠类风湿关节炎模型 | 大小鼠足底热痛测试 | 小鼠非酒精性脂肪肝模型 | 裸鼠肝原位瘤药效评佶 | 大鼠慢性非细菌性前列腺炎模型 | 行为学实验 | 小鼠肺损伤模型 | 裸鼠肝转移瘤 | 大鼠脑缺血再灌注模型 | 机械痛 | 小鼠肺纤维化模型 | 裸鼠结肠癌模型 | 大鼠脑缺血再灌注损伤模型 | 热板测痛 | 小鼠肺转移瘤 | 裸鼠皮下移植瘤 | 大鼠帕金森模型 | 水迷宫 | 小鼠肺转移瘤药效评估 | 裸鼠皮下移植瘤药效评估 | 大鼠膀胱癌模型 | 跳台实验 | 小鼠福尔马林致痛模型 | 裸鼠前列腺癌模型 | 大鼠皮肤损伤模型 | 平衡木实验 | 小鼠肝原位瘤 | 裸鼠乳腺癌原位瘤 | 大鼠肾病模型 | 转角实验 | 小鼠肝原位瘤药效评估 | 裸鼠头颈部肿瘤模型 | 大鼠肾结石模型 | 旷场实验 | 小鼠肝转移瘤 | 裸鼠移植瘤模型 | 大鼠实验性流产模型 | 急毒实验 | 小鼠急性淋巴细胞白血病模型 | 裸鼠肿瘤移植模型 | 大鼠心肌肥厚模型 | 长毒实验 | 小鼠脊髓损伤模型 | 大鼠无创血压监测 | 大鼠心肌梗死模型 | 溶血实验 | 小鼠净化和扩繁 | 大鼠Ⅰ型糖尿病模型 |
|
| 小鼠脑缺血再灌注模型 | 大鼠Ⅱ型糖尿病模型 |
|
| 小鼠皮肤损伤模型 | 大鼠 CCL4 诱导肝纤维化模型 |
|
| 小鼠皮下移植瘤 | 大鼠 DIO 模型 |
|
|
| 大鼠 MCAO 模型 |
|
|
| 大鼠 UUO 肾间质纤维化模型 |
|
|
动物行为学评价
| Light/dark box (黑白箱实验) | 在明暗箱中,小鼠或大鼠喜欢在暗箱活动,但动物的探究习性促使其试图去探究明箱。然而,明箱的亮光刺激又抑制动物在明箱的探究活动。抗焦虑药物可解除这种抑制作用。 | 
| 高压氧舱 | 高氧实验箱装置主要由氧气控制器和动物实验箱两部分组成。另可提供多种不同的气体控制器,满足不同实验O2、CO2、NO、CO、O3等气体浓度控制的需求。 | 
| 足底热痛仪 | 足底测痛仪可使研究人员识别药物影响无束缚大鼠对外部热刺激的间接反应。足底测痛仪基本上包含一个玻璃框下操作员可滑动的红外发生器,上方为可放置大鼠的三隔透明围箱。红外发生器内置的感知器可以探测到动物肢爪0.1秒的回撤。 | 
| 强迫游泳 | 强迫游泳实验是一种用于评估抗抑郁药物效果的动物行为模型。强迫游泳实验基于动物在被迫置于局限水环境中时会表现出一系列行为,这些行为可作为评估其心理状态的指标。 | 
| 跑台实验 | 跑台实验是一种用于评估小型动物体能训练和神经功能的方法。跑台实利用跑步机机制对小型动物进行体能训练和评估。这种方法在研究运动能力、神经功能和代谢过程方面具有重要作用等。 | 
| 大小鼠心电图 | 心电图是临床常用的检查之一,应用广泛。应用范围包括:记录正常心脏的电活动;帮助诊断心律失常;帮助诊断心肌缺血、心肌梗死及部位;诊断心脏扩大、肥厚;判断药物或电解质情况对心脏的影响;判断人工心脏起搏状况等。 | 
| 平衡木训练 | 平衡木是啮齿动物中运动协调和平衡的测试。该试验评估了运动皮层损伤,创伤性脑损伤,γ-氨基丁酸输注到额叶皮层和中风模型后的感觉运动功能。此外,该测试可用于评估衰老的影响和表征转基因动物。 | 
| 热板 | 将小鼠置于一定温度的热板上,热刺激小鼠足部产生痛反应,即舔足反应。以小鼠出现舔足的时间作用为痛反应指标,判断药物是否具有镇痛作用。 | 
| 旋转杆实验 | 旋转杆实验,也称为转棒实验或旋转棒测试,是一种检测啮齿类动物运动功能的实验方法。通常用于评估动物在旋转杆上保持平衡的能力,尤其是在杆子转速提高时,实验动物维持平衡的难度会加大,从而检测啮齿类动物的运动功能和协调性。 | 
| 旷场实验 | 旷场实验是一种评价动物自主运动、探究行为和紧张度的方法,常用于神经科学和药理学研究。通常涉及将实验动物(如大鼠或小鼠)置于一个开阔且陌生的环境中,观察它们的行为反应。 | 
| 大小鼠条件性恐惧 | 条件性恐惧实验系统(也叫场景恐惧系统)用于小型啮齿类动物(大、小鼠)环境相关条件性恐惧反应和记忆形成研究。 | 
| 网屏训练 | 网屏训练通常是指利用网格或网屏作为障碍,对动物(特别是啮齿类动物如大小鼠)进行运动能力和学习记忆的测试。这种训练有时用于评估动物的攀爬能力、运动协调性和解决问题的能力。 | 
| 转棒训练 | 转棒训练,也称为旋转棒测试或旋转杆实验,是一种用于评估动物运动协调能力和平衡感的实验方法。通常用于啮齿类动物(如大小鼠)以检测它们的精细运动技能和疲劳耐受性。中枢神经系统疾病或损坏以及药物对运动协调功能和疲劳的影响可以通过测量动物在滚筒上行走的持续时间检测评定。 | 
| Y迷宫 | Y迷宫是一种用于评估动物记忆能力的实验工具,尤其适用于研究短期记忆、空间工作记忆以及趋向性行为等领域。 Y迷宫实验主要通过观察动物在迷宫中的行为来分析其认知功能,通过记录动物进入各个臂的次数、停留时间、正确与错误的选择次数等参数,可以对其空间工作记忆进行评估。 | 
| 社交互动(自我捋毛,筑巢、少年玩耍,实物埋藏等) | 在动物行为学和社会心理学中,社交互动是指个体之间发生的各种形式的交互作用。这些互动可能包括非言语行为(如身体语言和面部表情)、言语交流、触觉和肢体接触等。对于动物而言,社交互动是它们生活的重要组成部分,对它们的生存和繁殖至关重要。社交行为障碍是许多精神疾病的典型特征,包括抑郁症、自闭症、精神分裂以及强迫症等等。 | 
| 高空十字架 | 高空十字架是一种用于评估动物特别是啮齿类动物焦虑反应的实验方法,也称为高架十字迷宫(Elevated Plus Maze, EPM)。啮齿类动物具有探究新环境的习性,但是又厌恶强光和开阔地。EPM就是利用啮齿类动物对新异环境的探究行为和对高悬着的开臂的恐惧形成的矛盾冲突状态,评价药物的抗焦虑或致焦虑作用。 | 
| 避暗穿梭 | 避暗穿梭实验是一种常用的动物行为测试方法,用于研究动物的学习记忆以及恐惧记忆能力。主要目的包括评估学习与记忆能力、理解认知功能障碍、研究恐惧反应、筛选药物或治疗方法等。 | 
| 水迷宫 | 水迷宫,也称为Morris水迷宫,是一种常用的动物行为学实验方法。主要用于评估动物的空间学习和记忆能力。初由英国心理学家Richard Morris在20世纪80年代初设计,现在已经成为神经科学和心理学研究中的一个重要工具。 |
SPF级别小动物饲养
世联博研作为专业的实验动物供应商,拥有严格的质量控制和专业的饲养管理手段,为客户提供高品质的实验动物,以确保实验结果的准确性和可靠性。 无论是在科研项目、药物研发还是其他领域,世联博研都能为我们的客户提供的实验动物和服务! 世联博研是一家专业的实验动物供应商,于为客户提供高品质的实验动物和服务:
的屏障级饲养设施,可以为实验动物提供安、无菌的生长环境,确保实验结果的准确性和可靠性; 严格的动物质量管理体系,从动物的来源、饲养、繁殖、运输等各个环节进行严格控制,确保实验动物的品质和健康; 经验丰富、技术娴熟的实验动物技术人员和职业兽医团队,可以为实验动物提供专业的饲养和护理,确保实验动物的健康和福利; 高福利、高标准的饲养措施,包括提供舒适的饲养环境、合理的饲料配比、科学的饲养管理等,以确保实验动物的健康成长; 面的质量监控,包括微生物学、寄生虫学、病理学等方面的监测。其中,SPF级小鼠微生物质量监测是其重要的监测内容之一,通过对小鼠的微生物负荷进行监测,确保实验动物的微生物质量符合标准; 根据客户的需求,按时提供足量符合标准的实验动物,确保客户的实验进度不受影响。

| 小鼠屏障环境饲养 | 
| 大鼠屏障环境饲养 | 
| 豚鼠屏障环境饲养 | 
| 仓鼠屏障环境饲养 | 
| 兔屏障环境饲养 | 
| 犬普通环境饲养 | 
| 猪普通环境饲养 | 
| 猴普通环境饲养 |
细胞培养细胞培养是指从体内组织取出细胞,在体外或者说是在实验室环境培养使其生长繁殖并维持其结构和功能的一种培养技术,细胞可以在培养前直接从组织中取出并通过酶或机械方法进行解离,也可以来源于已建立的细胞系或细胞株。在生物学、医学和许多其他科学领域中扮演着至关重要的角色。 细胞培养不仅是科学研究的基础工具,也是医学和生物技术发展的关键环节,在科学研究、医学和临床实践中发挥着重要作用。 通过对细胞的体外培养,可以深入了解细胞的生物学特性,推动医学,并为疾病的预防和治疗提供有力支持。 动物细胞培养根据细胞来源可分为原代培养、细胞系、细胞株、有限细胞系与连续细胞系;根据不同的细胞培养条件又可以分为贴壁细胞和悬浮细胞。

| 普通细胞培养 | 从体内组织取出细胞,在体外培养使其生长繁殖并维持其结构和功能的培养,是细胞生物学研究中基础、基本的一项技术,可以用来进行药物筛选、疫苗生产、抗体制备等。 | 
| 原代细胞培养 | 从供体获取组织细胞的次培养叫原代细胞培养或初代细胞培养(primary culture)。原代细胞离体时间短,具有二倍体遗传性,在一定程度上能反映体内生长特性,很适合作药物测试、细胞分化和转化等实验研究。 | 
| 细胞传代培养 | 体外培养的原代细胞或细胞株要在体外持续地培养就必须传代,以便获得稳定的细胞株或得到大量的同种细胞,并维持细胞种的延续。培养的细胞形成单层汇合以后,由于密度过大生存空间不足而引起营养枯竭,将培养的细胞分散,从容器中取出,以1:2或l:3以上的比率转移到另外的容器中进行培养,即为传代培养。 | 
| 干细胞培养 | 干细胞(Stem cell)即起源细胞。在细胞的分化过程中,细胞往往由于高度化分而完失去了再分裂的能力,终衰老死亡。机体在发展适应过程中为了弥补这一不足,保留了一部分未分化的原始细胞。因此,干细胞是一类具有自我更新和分化潜能的细胞。 | 
| 细胞缺氧培养 | 大脑中的氧气缺乏症(也称为缺氧)实际上是紧急状态,可以损坏神经细胞。然而,越来越多的证据表明,在一定程度上,缺氧也可能是生长的重要信号。氧气短缺会激活生长因子促红细胞生成素(Epo),从而刺激新的突触和神经细胞的形成。 | 
| Transwell共培养 | Transwell法是研究细胞转移侵袭的三大方法之一(另外两种方法分别为细胞划痕实验和小管形成实验),Transwell法既可研究细胞转移又可研究细胞侵袭,是肿瘤细胞侵袭转移或其他相关研究中必选的经典方法。 | 
| 神经元细胞培养 | 体外神经细胞的培养已成为神经生物学研究中十分有用的技术手段。 | 
| 内皮细胞培养 | 内皮细胞易于从大血管分离培养成单层细胞,对于研究内皮细胞再生、肿瘤促血管生长因子(TAF)等有很大价值。 | 
| 细胞成脂、成骨、成神经诱导 | 
| 原代细胞分离 | 原代细胞分离(Primary Cell Isolation)是细胞生物学研究中的一种基础技术,其目的是从组织样本中获得初始的、未经过多次传代培养的细胞。这些细胞保持了原始组织的许多特性,因此对于疾病建模、药物筛选和基础研究有价值。 | 
| 细胞转染 | 细胞转染是指将外源分子如DNA,RNA等导入真核细胞的技术。随着分子生物学和细胞生物学研究的不断发展,转染已经成为研究和控制真核细胞基因功能的常规工具。在研究基因功能、调控基因表达、突变分析和蛋白质生产等生物学试验中,其应用越来越广泛。 | 
| 细胞粘附 | 细胞粘附实验具有重要的生物学意义,它能够帮助我们了解细胞行为、组织完整性、病理研究、深入探讨细胞与细胞之间以及细胞与细胞外基质之间的相互作用等。 | 
| 细胞辐照 | 细胞辐照指的是用X射线,β、γ射线等电离射线来辐射细胞的过程。放射治疗作为治疗肿瘤的重要手段,广泛应用于各种肿瘤的治疗,具有疗效确切,副作用小等优点。细胞辐照有利于在体外摸索佳的辐射强度,也在辐射增敏剂的研究中具有重要作用。此外,细胞辐照还可应用于细胞损伤的研究。 | 
| 细胞支架培养 | 体外细胞培养的一个重要原则是需模拟体内细胞生长环境,该模拟系统中重要的核心因素是细胞与培养环境之间的相互作用。不同于传统的二维单层细胞培养,三维干细胞培养技术(three-dimensional cell culture,TDCC,简称3D培养)是指通过细胞聚集建立细胞球或将细胞嵌入支架上或支架内来模拟真实生物体组织的ECM(细胞外基质),进而在一定程度上模拟体内微环境。3D培养技术既能保留体内细胞微环境的物质及结构基础,又能展现细胞培养的直观性及条件可控性的优势。 | 
| 细胞数量统计分析 | 在细胞生物学和分子生物学的实验中,细胞实验通常要进行细胞数量的检测,调整细胞至适合密度,才可进行后续的实验操作(如传代、转染和流式细胞术等),很多实验要对细胞数量进行统计学分析也需要对细胞进行计数操作。细胞数量统计学是细胞培养中一项为基础的指征。 | 
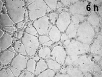
| 血管生成 | 血管生成是指从已有的毛细血管或毛细血管后静脉发展而形成新的血管,是用于研究新血管形成过程的实验方法,对于理解生理和病理条件下的血管生成机制至关重要,尤其是在肿瘤生长、伤口愈合、炎症反应以及缺血性疾病等情况下。 |
部分实验服务列表
动物实验 | 消化系统模型 | 胃酸分泌模型、脓毒症模型、胃溃疡模型、胰腺炎模型、肝纤维化模型、DIO肥胖模型、胆结石模型、结肠炎(UC)模型、脂肪肝模型、急性肝损伤模型等 | | 免疫、代谢系统疾病模型 | 骨质疏松模型、糖尿病模型、高尿酸血症模型等 | | 呼吸系统模型 | 肺纤维化模型、慢性肺阻塞模型、急性肺损伤模型、哮喘模型、肺栓塞模型、支气管炎模型等 | | 泌尿生殖系统模型 | 慢性肾衰模型、急性肾衰模型、肾间质纤维化模型、肾结石模型、肾赀模型、子宫内膜异位症模型等 | | 心血管系统模型 | 冠心病模型、心肌梗死模型、心脏骤停模型、慢性心力袁竭模型、动脉粥样硬化模型、白血病模型、高血压模型等 | | 神经系统模型 | 脑卒中模型、栓塞性脑梗死模型、脑出血模型、脑损伤模型、脊毓损伤模型、怕金森模型、老年痴呆模型、应激模型等 | | 骨骼疾病模型 | 骨折模型、骨缺损模型、风湿免疫性关节贤模型、骨关节炎模型 | 五官疾病模型 | 眼科疾病模型、鼻腔疾病模型 | 皮肤疾病模型 | 皮肤损伤模型 | | 肿瘤疾病模型 | 原位瘤模型、转移瘤模型、皮下植瘤模型 |
细胞实验 | 细胞培养 | 普通细胞株、细胞缺氧培养、细胞培养+支架、干细胞培养、原代细胞分离/提取/培养、细胞转染/病毒感染、Trans well共培养 | | 细胞增殖 | 细胞计数、生长曲线测定、存活曲线测定、ccK-8增殖检测、MTT塔殖检测、CFSE检测塔殖-流式检测、BrDU检测-免疫荧光法 | | 细胞凋亡 | Annexin W/PI流式检测细胞凋亡、WB检测凋亡相关蛋白、透射电镜观察凋亡小体、Tunel染色(POD法,DAB显色)、Tunel(黄光法,含试剂盒)、DNA ladder法 | | 细胞周期 | 细胞显微计数、PI染色、Brdu渗入法、免疫荧光染色、PI流式检测细胞周期 | | 细胞运动 | Transwell检测细胞迁移、Transwell检测细胞侵袭、细胞划痕 | | 细胞克隆 | 集落形成法/稀释铺板方法、软琼脂克隆法、毛细管克隆法、体外实验血管生成、磁珠分选细胞、流式分选细胞、开机费、单色、双色、CBA多细胞因子流式检测 | | 组织/血液细胞制备 | 组织单细胞制备、中性粒细胞提取、其他样本细胞制备(如血液等)、外周血PBMC分离 | | 线粒体组学 | 线粒体膜电位检测-流式法、线粒体膜电位检测-免疫荧光法、线粒体ROS生物含量检测--流式、线粒体ROS生物含量检测--免疫荧光、线粒体通透性转换孔(mPTP)、溶酶体免疫荧光法、线粒体+溶酶体共定位、内质网、线粒体钙瞬时变化检测-流式、ATP检测、ADP检测、AMP检测 |
病理实验 | 病理染色 | HE染色、油红0染色、番红固绿染色、Masson染色、天狼猩红染色、PAS糖原染色、阿利新蓝染色、甲苯胺蓝染色、尼氏染色、LFB髓鞘染色、普鲁士蓝染色、VG染色、EVG染色、VonKossa染色、刚果红染色、苏丹黑B染色、Trap染色、抗酸染色、革兰氏染色、AB-PAS染色、亚甲基蓝染色、苯胺蓝染色、荧光 DAPI染色、普鲁士蓝染色、间苯二酚碱性品红染色、银染、黑色素染色、镀银染色、PASM 六胺银染色、VG染色、富尔根染色、亚甲基蓝染色、碘-碘化钾染色、Goldner三色法染色、PAS-萘酚磺S染色、改良苯酚品红染色、网状纤维染色、β-半乳糖苷酶染色、镀银染色、movat五色染色、维多利亚蓝染色 | | 免疫组化 | 免疫组化预式、免疫组化正式、免疫荧光(石蜡-单标)、免疫荧光(石蜡-双标)、免疫荧光(石蜡-三标)、免疫荧光(冰冻-单标)、免疫荧光(冰冻-双标) | | 制片前处理 | 石蜡组织包埋、特殊包埋(细胞、材料、眼球等)、软化(肝硬化、皮肤结痂、植物等)、骨组织脱钙(小)、骨组织脱钙(大)、骨组织EDTA脱钙5(小)、骨组织EDTA脱钙(大)、石蜡白片、细胞爬片 |
流式 | 组织细胞悬液处理、细胞处理、血液标本处理、细胞刺激培养、单色检测、双色检测、Annexin V/Pl凋亡、细胞周期 | | DNA/RNA半定量检测 | pcr检测mRNA、microRNA检测、_ncRNA表达量的检测、irRNA表达量的检测、凝胶电泳 | 基因合成 | < 300、300-1.500、1500-5000、>5000、特殊序列 | | 基因编辑工具 | 合成(3保1)片段/质粒/引物合成、质粒载体构建、过表达腺病毒载体构建包装、shRNA腺病毒载体构建包装、过表达慢病毒载体构建包装、shRNA慢病毒载体构建包装、过表达腺相关病毒载体构建包装、shRNA腺病毒载体构建包装、稳转细胞株 | | ELISA | 组织匀浆处理、ELISA(不含试剂盒)48T/kit、ELISA(不含试剂盒)96T/kit、48T/kitELISA(含国产试剂盒)、ELISA(含国产试剂盒)96T/kit | | WB | 蛋白提取及定量一、WB检测一(10孔膜/指标)、灰度值分析及作图一(10孔膜/指标)、蛋白提取及定量二、WB检测二(10孔膜/指标)、灰度值分析及作图二(10孔膜/指标) | | qPCR | RNA抽提、mRNA引物设计及合成、miRNA引物设计及合成、LnCRNA引物设计及合成、CircRNA引物设计及合成、mRNA RT-gPCR、miRNA RT-gPCR、LnCRNA RT-qPCR、CirCRNA RT-qPCR |
世联博研(北京)科技有限公司拥有专业、齐的细胞培养设备,拥有各类细胞模型制备技术,可开展多种疾病相关的新药筛选评价研究,对细胞疾病的药理药效评价和机制研究具有丰富的经验。
世联博研(北京)科技有限公司是一家集科学研究和技术服务于一体的生物技术公司,目前公司面积1500余平米,其中啮齿类屏障设施动物房300多平米,实验室面积700平方米,拥有实验仪器设备300余台。于各类疾病的药物评价和作用机制研究,对各类疾病的药理药效评价和机制研究具有丰富的经验,是北京经济技术开发区生物医药和大健康产业一站式服务平台战略合作单位。 世联博研拥有立高标的专业实验室,已建立细胞生物学、分子生物学、药物筛选与评价、多组学研究等主要技术服务平台,可提供实验整体研究服务。 的团队,专业的技术人员,的实验设备,完美高效的实验服务,让您的科研有一个专业的合作伙伴。
收费标准/服务周期/提供结果: 欢迎咨询详谈,我们会根据您的方案及需求制定详细的服务协议。 更多实验技术服务请联系——祝经理:13370568032
|