世联博研(北京)科技有限公司——专业科研细胞实验技术服务外包 世联博研(北京)科技有限公司为满足广大科研朋友的需求,现推出一系列动物实验服务、细胞生物学实验技术服务以及细胞生物学类整体实验技术服务等一站式技术实验服务平台,欢迎大家选择本平台的相关实验服务。 世联博研的科研整体服务是一个面而综合性的服务平台,旨在为科研人员提供一站式的解决方案。从基础的动物饲养、健康管理、动物实验模型构建、给药、观察、样本收集、功能检测分析等,以确保您的实验结果具有高度的科学价值。 另外,我们还可以提供比如数据分析、实验设计咨询、论文撰写支持等,帮助您从实验设计到成果发表的每一个环节。我们专业的技术服务团队由精通实验操作的经验丰富的科研人员组成,可以提供专业的技术建议和解决方案,确保您的研究工作能够顺利进行。

世联博研目前可构建200余种动物疾病模型,与国内500+医院、高校、研究所建立合作,拥有上千种生物资源库,为近万名客户提供专业高效的一站式服务平台,助力科研创新。已成功与国际生命科学领域近50多家的科研产品制造商以及1300多家中国三甲医院、2100多家科研院所、600多家高校、400多家检验检疫等用户单位建立了良好诚信的长期合作关系,拥有上千种生物资源库,为近万名客户提供专业高效的一站式服务平台,助力科研创新。 一站式整体课题服务:研究方案(课题)评估、整体实验项目合作、医学成果高效转化

| 细胞培养 | 普通细胞株细胞培养、细胞缺氧培养、细胞培养+支架、原代细胞培养、原代细胞分离、干细胞培养、干细胞诱导分化、细胞转染/感染/电转、细胞共培养等。 | 
| 细胞表型 | 细胞增殖、生长曲线测定、CCK-8/MTT、克隆/集落形成、悬浮小球、细胞运动、Transwell检细胞迁移/侵袭、细胞粘附、细胞划痕、细胞克隆、血管生成、细胞分选、细胞周期、细胞凋亡、细胞衰老、细胞自噬、细胞铁死亡等。 | 
| 疾病细胞模型构建 | 癌细胞模型、神经退行性疾病细胞模型、心血管疾病细胞模型、感染性疾病细胞模型、炎症和自身免疫性疾病细胞模型、遗传性疾病细胞模型、正常细胞模型等。 | 
| 药物筛选 | 细胞存活率、细胞形态、收缩功能、电生理活动、钙离子浓度、钙离子动力学、氧化应激水平、线粒体功能、凋亡相关蛋白表达、炎症因子水平、自噬标志物表达、蛋白质组学分析等。 | 
| 影像学平台 | 多激光扫描光声显微镜,血流动力学光声功能性检测、血流速度成像与测量、血氧饱和度成像与检测、氧代谢速率成像与检测等。 | 
| 微生物实验 | 培养基制备、微生物形态观察、生化反应、分离和纯化、分子鉴定、遗传改造、发酵、进化、生态、保藏等 |
细胞培养 细胞培养是指从体内组织取出细胞,在体外或者说是在实验室环境培养使其生长繁殖并维持其结构和功能的一种培养技术,细胞可以在培养前直接从组织中取出并通过酶或机械方法进行解离,也可以来源于已建立的细胞系或细胞株。在生物学、医学和许多其他科学领域中扮演着至关重要的角色。 细胞培养不仅是科学研究的基础工具,也是医学和生物技术发展的关键环节,在科学研究、医学和临床实践中发挥着重要作用。 通过对细胞的体外培养,可以深入了解细胞的生物学特性,推动医学,并为疾病的预防和治疗提供有力支持。 动物细胞培养根据细胞来源可分为原代培养、细胞系、细胞株、有限细胞系与连续细胞系;根据不同的细胞培养条件又可以分为贴壁细胞和悬浮细胞。

| 普通细胞培养 | 从体内组织取出细胞,在体外培养使其生长繁殖并维持其结构和功能的培养,是细胞生物学研究中基础、基本的一项技术,可以用来进行药物筛选、疫苗生产、抗体制备等。 | 
| 原代细胞培养 | 从供体获取组织细胞的次培养叫原代细胞培养或初代细胞培养(primary culture)。原代细胞离体时间短,具有二倍体遗传性,在一定程度上能反映体内生长特性,很适合作药物测试、细胞分化和转化等实验研究。 | 
| 细胞传代培养 | 体外培养的原代细胞或细胞株要在体外持续地培养就必须传代,以便获得稳定的细胞株或得到大量的同种细胞,并维持细胞种的延续。培养的细胞形成单层汇合以后,由于密度过大生存空间不足而引起营养枯竭,将培养的细胞分散,从容器中取出,以1:2或l:3以上的比率转移到另外的容器中进行培养,即为传代培养。 | 
| 干细胞培养 | 干细胞(Stem cell)即起源细胞。在细胞的分化过程中,细胞往往由于高度化分而完失去了再分裂的能力,终衰老死亡。机体在发展适应过程中为了弥补这一不足,保留了一部分未分化的原始细胞。因此,干细胞是一类具有自我更新和分化潜能的细胞。 | 
| 细胞缺氧培养 | 大脑中的氧气缺乏症(也称为缺氧)实际上是紧急状态,可以损坏神经细胞。然而,越来越多的证据表明,在一定程度上,缺氧也可能是生长的重要信号。氧气短缺会激活生长因子促红细胞生成素(Epo),从而刺激新的突触和神经细胞的形成。 | 
| Transwell共培养 | Transwell法是研究细胞转移侵袭的三大方法之一(另外两种方法分别为细胞划痕实验和小管形成实验),Transwell法既可研究细胞转移又可研究细胞侵袭,是肿瘤细胞侵袭转移或其他相关研究中必选的经典方法。 | 
| 神经元细胞培养 | 体外神经细胞的培养已成为神经生物学研究中十分有用的技术手段。 | 
| 内皮细胞培养 | 内皮细胞易于从大血管分离培养成单层细胞,对于研究内皮细胞再生、肿瘤促血管生长因子(TAF)等有很大价值。 | 
| 细胞成脂、成骨、成神经诱导 |
| 
| 原代细胞分离 | 原代细胞分离(Primary Cell Isolation)是细胞生物学研究中的一种基础技术,其目的是从组织样本中获得初始的、未经过多次传代培养的细胞。这些细胞保持了原始组织的许多特性,因此对于疾病建模、药物筛选和基础研究有价值。 | 
| 细胞转染 | 细胞转染是指将外源分子如DNA,RNA等导入真核细胞的技术。随着分子生物学和细胞生物学研究的不断发展,转染已经成为研究和控制真核细胞基因功能的常规工具。在研究基因功能、调控基因表达、突变分析和蛋白质生产等生物学试验中,其应用越来越广泛。 | 
| 细胞粘附 | 细胞粘附实验具有重要的生物学意义,它能够帮助我们了解细胞行为、组织完整性、病理研究、深入探讨细胞与细胞之间以及细胞与细胞外基质之间的相互作用等。 | 
| 细胞辐照 | 细胞辐照指的是用X射线,β、γ射线等电离射线来辐射细胞的过程。放射治疗作为治疗肿瘤的重要手段,广泛应用于各种肿瘤的治疗,具有疗效确切,副作用小等优点。细胞辐照有利于在体外摸索佳的辐射强度,也在辐射增敏剂的研究中具有重要作用。此外,细胞辐照还可应用于细胞损伤的研究。 | 
| 细胞支架培养 | 体外细胞培养的一个重要原则是需模拟体内细胞生长环境,该模拟系统中重要的核心因素是细胞与培养环境之间的相互作用。不同于传统的二维单层细胞培养,三维干细胞培养技术(three-dimensional cell culture,TDCC,简称3D培养)是指通过细胞聚集建立细胞球或将细胞嵌入支架上或支架内来模拟真实生物体组织的ECM(细胞外基质),进而在一定程度上模拟体内微环境。3D培养技术既能保留体内细胞微环境的物质及结构基础,又能展现细胞培养的直观性及条件可控性的优势。 | 
| 细胞数量统计分析 | 在细胞生物学和分子生物学的实验中,细胞实验通常要进行细胞数量的检测,调整细胞至适合密度,才可进行后续的实验操作(如传代、转染和流式细胞术等),很多实验要对细胞数量进行统计学分析也需要对细胞进行计数操作。细胞数量统计学是细胞培养中一项为基础的指征。 | 
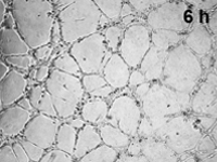
| 血管生成 | 血管生成是指从已有的毛细血管或毛细血管后静脉发展而形成新的血管,是用于研究新血管形成过程的实验方法,对于理解生理和病理条件下的血管生成机制至关重要,尤其是在肿瘤生长、伤口愈合、炎症反应以及缺血性疾病等情况下 |
部分实验服务列表
细
胞
实
验 | 细胞培养 | 普通细胞株、细胞缺氧培养、细胞培养+支架、干细胞培养、原代细胞分离/提取/培养、细胞转染/病毒感染、Trans well共培养 | | 细胞增殖 | 细胞计数、生长曲线测定、存活曲线测定、ccK-8增殖检测、MTT塔殖检测、CFSE检测塔殖-流式检测、BrDU检测-免疫荧光法 | | 细胞凋亡 | Annexin W/PI流式检测细胞凋亡、WB检测凋亡相关蛋白、透射电镜观察凋亡小体、Tunel染色(POD法,DAB显色)、Tunel(黄光法,含试剂盒)、DNA ladder法 | | 细胞周期 | 细胞显微计数、PI染色、Brdu渗入法、免疫荧光染色、PI流式检测细胞周期 | | 细胞运动 | Transwell检测细胞迁移、Transwell检测细胞侵袭、细胞划痕 | | 细胞克隆 | 集落形成法/稀释铺板方法、软琼脂克隆法、毛细管克隆法、体外实验血管生成、磁珠分选细胞、流式分选细胞、开机费、单色、双色、CBA多细胞因子流式检测 | | 组织/血液细胞制备 | 组织单细胞制备、中性粒细胞提取、其他样本细胞制备(如血液等)、外周血PBMC分离 | | 线粒体组学 | 线粒体膜电位检测-流式法、线粒体膜电位检测-免疫荧光法、线粒体ROS生物含量检测--流式、线粒体ROS生物含量检测--免疫荧光、线粒体通透性转换孔(mPTP)、溶酶体免疫荧光法、线粒体+溶酶体共定位、内质网、线粒体钙瞬时变化检测-流式、ATP检测、ADP检测、AMP检测 |
世联博研(北京)科技有限公司是一家集科学研究和技术服务于一体的生物技术公司,目前公司面积1500余平米,其中啮齿类屏障设施动物房300多平米,实验室面积700平方米,拥有实验仪器设备300余台。于各类疾病的药物评价和作用机制研究,对各类疾病的药理药效评价和机制研究具有丰富的经验,是北京经济技术开发区生物医药和大健康产业一站式服务平台战略合作单位。 世联博研拥有立高标的专业实验室,已建立细胞生物学、分子生物学、药物筛选与评价、多组学研究等主要技术服务平台,可提供实验整体研究服务。 专业的技术人员,的实验设备,完美高效的实验服务,让您的科研有一个专业的合作伙伴。 收费标准/服务周期/提供结果: 欢迎咨询详谈,我们会根据您的方案及需求制定详细的服务协议。 更多实验技术服务请联系——祝经理:13370568032
|